histologia
sistema respiratório
cavidade nasal
epitélio respiratório

Histologia do Sistema Respiratório

Por ResumeAi Concursos
Ilustração detalhada da estrutura interna de um brônquio, mostrando suas camadas e componentes.

Cavidade Nasal

Aquece, umedece e limpa o ar antes de sua entrada nos pulmões.

cavidade nasal

cavidade nasal vista de cima

-VESTÍBULO – Porção anterior queratinizada da cavidade nasal revestida por pele delgada e possui vibrissas. A derme do vestíbulo é rica em glândulas sebáceas e sudoríparas. É revestida por epitélio estratificado pavimentoso.

EPITÉLIO RESPIRATÓRIO – Epitélio pseudoestratificado cilíndrico ciliado que possui células colunares ciliadas, caliciformes, em escova, basais e granulares. Compõe a maior parte da via aérea superior.

OBS:

  • Células Colunares Ciliadas – São mais coradas
  • Células Caliciformes – São muco produtoras
  • Células Basais – São Células tronco
  • Células Granulares – São Células endócrinas.

A lâmina própria apresenta muitas glândulas seromucosas, vasos sanguíneos e abundantes componentes linfoides.

epitélio respiratório

Epitélio Respiratório

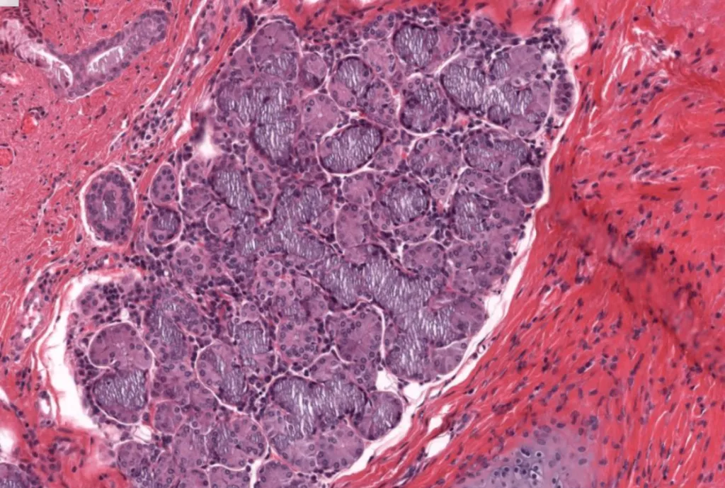
glândulas seromucosas 01

Glândulas seromucosas

glândulas seromucosas 2

Glândulas seromucosas

EPITÉLIO OLFATÓRIO – Epitélio pseudoestratificado, composto de células olfatórias de sustentação, em escova e basais.

A lâmina própria apresenta feixes de fibras nervosas (axônios) e glândulas de Bowman (secretam fluido que “limpa” a mucosa possibilitando a função do olfato).

O teto da cavidade nasal, a porção superior do septo nasal e a concha nasal superior são cobertas por uma mucosa olfatória

OBS:

  • Células Olfatórias – São neurônios bipolares
  • Células de Sustentação – Neuróglia

Epiglote

Este artigo faz parte do módulo de Conteúdo Complementar

Módulo de Conteúdo Complementar — 22 Resumos Reversos

Baseados em engenharia reversa de 100.066 questões reais de provas de residência.

Veja o curso completo com 22 resumos reversos de Conteúdo Complementar, flashcards ANKI e questões comentadas. Construído a partir de engenharia reversa de mais de 90.000 questões de provas reais.

Ver Curso Completo e Preços

A epiglote é uma estrutura cartilaginosa na parte posterior da língua que se dobra sobre a abertura da traqueia durante a deglutição. Esta fixada no osso hioide e na cartilagem tireoide.

REGIÃO DORSAL – Voltada para laringe, possui epitélio pseudoestratificado, colunar, ciliado com células caliciformes. Na lâmina própria (tecido conjuntivo) da face dorsal, há frequentemente pequenas glândulas abaixo do epitélio caracterizadas como seromucosas.

REGIÃO VENTRAL – Voltado para língua, possui epitélio pavimentoso estratificado não queratinizado com botões gustativos.

A epiglote é formada por cartilagem elástica (presença de colágeno e elastina que ajuda na movimentação da mesma)

epiglote

Traquéia

A traquéia é um tubo que conecta a laringe aos pulmões, permitindo a passagem de ar. É um tubo fibromuscular suportado por cartilagens hialinas em forma de 15 a 20 “C”.

É formada por epitélio pseudoestratificado, colunar, ciliado. Possui 4 camadas:

-CAMADA MUCOSA – Epitélio respiratório + membrana basal espessa, possui lâmina própria que aparece como um tecido conjuntivo frouxo típico que contém muitos linfócitos. Na camada mucosa ainda possui uma membrana elástica que é o limite da mucosa com a submucosa.

epitélio respiratório da traquéia

Epitélio respiratório da traquéia

-CAMADA SUBMUCOSA – É um tecido conjuntivo frouxo ou denso contendo vasos distribuidores e linfáticos, além de glândulas serosas e seromucosas.

glândulas seromucosas

Glândulas seromucosas

-CAMADA CARTILAGINOSA – Presença de uma série de cartilagens hialinas em formato de “C” empilhados para formar uma estrutura de suporte.

Em contato com a camada submucosa existe uma camada de pericôndrio que reveste a camada cartilaginosa. Possui também ligamentos fibroelásticos e + músculo liso.

cartilagem traqueal

Cartilagem traqueal

Músculo liso traqueal

Músculo liso traqueal

-CAMADA ADVENTÍCIA – É uma camada de tecido conjuntivo frouxo, possui grandes vasos sanguíneos e nervos, tecido adiposo e une um tecido conjuntivo a outro.

camada adventícia

Camada adventícia

Brônquios

São divididas em 3 regiões:

  • EXTRAPULMONAR PRINCIPAL
  • RAMOS MAIORES INTRAPULMONARES (LOBAR)
  • RAMOS MENORES INTRAPULMONARES (SEGMENTAR)

Cada região possui 3 camadas:

Mucosa – Submucosa – cartilagem

tabela brônquios bronquíolos primários

bronquíolos primários

Bronquíolos

São divididos em três regiões, porém só possuem uma camada, a MUCOSA. As regiões são:

Bronquíolos – Bronquíolos terminais – Bronquíolos respiratórios

tabela bronquíolos bronquíolo terminal

Bronquíolo terminal

células da clara

Células da clara – Bronquíolo terminal

OBS 1: A diferença entre brônquios e bronquíolos é que os bronquíolos tem MENOR calibre

OBS 2: Bronquíolos não tem células caliciformes, nem glândulas seromucosas, nem cartilagem

OBS 3: O epitélio colunar (brônquios) ainda tem cílios. Quando ele se transforma em cúbico (bronquíolos) essas células deixam de ter cílios e passam a ter células da clara que produz um líquido semelhante ao surfactante para que os bronquíolos que é bem fininho não colabe.

ALVÉOLOS

Possui epitélio pavimentoso simples, cujas células são extremamente delgadas. Na borda dos alvéolos, a lâmina própria apresenta feixes de músculo liso.

OBS 1: Pode aparecer na lâmina própria, “pontinhos” formando uma grande mancha roxa = BALT (tecido linfóide associado aos brônquios)

OBS 2: Parênquima pulmonar = alvéolos

OBS 3: CÉLULAS DE POEIRA = MACRÓFAGOS RESODENTES DO PULMÃO

OBS 4: O ducto alveolar leva ao saco alveolar e o saco alveolar é o conjunto de vários alvéolos

ALVÉOLOS

Álvéolos

sacos finais cegos que compõe o término das vias aéreas.

contém dois tipos de pneumócitos apoiados em uma fina lâmina b

  • Pneumócitos tipo I – células epiteliais escamosas simples e achatadas. As trocas gasosas ocorrem através dessas células.
  • Pneumócito tipo II – células epiteliais cuboides em forma de cúpula que se projetam no lúmen. Produzem surfactante que cobre a superfície

ductos alveolares

Ductos Alveolares

ductos alveolares 2

ductos alveolares

sacos alveolares

Sacos alveolares

células de poeira

células de poeira

Bibliografia

Gartner, L. P. & Hiatt, J. L. Tratado de Histologia em Cores. 2 ed. Rio de Janeiro: Guanabara Koogan, 2003.

Junqueira, L.C. & Carneiro, J. Histologia Básica. 10 ed. Rio de Janeiro: Guanabara Koogan, 2004.

Guia de histologia Histology Guide

ResumeAI Concursos

Você acaba de ler Histologia do Sistema Respiratório — agora veja o curso completo

Este artigo faz parte do módulo de Conteúdo Complementar — um dos 7 módulos do nosso curso completo para Residência Médica (22 resumos reversos só nesta disciplina).

Todo o conteúdo do curso completo de Residência Médica foi construído a partir de engenharia reversa de mais de 90.000 questões reais — você estuda apenas o que cai.

Com o ResumeAI Concursos, você recebe:

+244 Resumos Reversos cobrindo os 7 módulos da prova
Milhares de Questões Comentadas para dominar os temas cobrados
30.051 Flashcards ANKI para revisão ativa

Saiba mais sobre como se preparar para a Residência Médica

Resumos de Conteúdo Complementar

Domine áreas complementares (Psiquiatria, Oftalmologia, Ortopedia e mais) com nossos 22 resumos reversos criados com auxílio de IA de ponta.

Flashcards ANKI

Memorize mais rápido com nossos 30.051 flashcards otimizados para residência médica.